


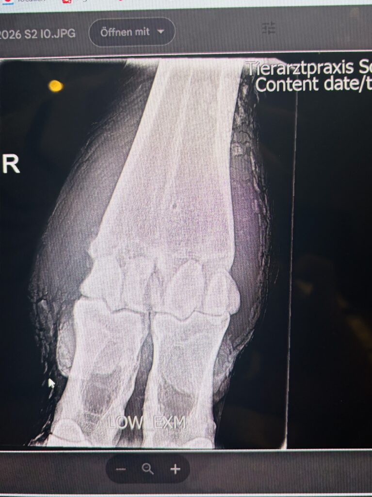
Heute durften wir erneut einen Einsatz durchführen, bei dem sich gezeigt hat, wie wertvoll eine gezielte Diagnostik direkt vor Ort sein kann.
Eine Kuh, die trotz Behandlung nur langsam Fortschritte machte, erforderte eine genauere Abklärung. Mit unserem mobilen Röntgengerät für Nutztiere konnten wir die Situation direkt im Stall beurteilen – ohne zusätzlichen Transport und ohne zusätzlichen Stress für das Tier.
Gerade in solchen Momenten ist es entscheidend, möglichst rasch Klarheit zu gewinnen:
Besteht eine knöcherne Beteiligung? Wie ist die Prognose einzuschätzen? Und welche nächsten Schritte sind sinnvoll?
Die Möglichkeit, diese Fragen unmittelbar vor Ort zu klären, ist eine grosse Erleichterung – für die Kuh und für den Tierhalter.
Mobiles Röntgen bei Kühen im Stall gehört zu den Leistungen, die aktuell in unserer Region praktisch nicht angeboten werden.
Gerne bieten wir diese Form der Diagnostik auch interessierten Landwirtinnen und Landwirten unabhängig von einer bestehenden Betreuung an.
Für uns ist das mobile Röntgen ein wichtiger Bestandteil unserer Arbeit geworden – gerade bei komplexeren Fällen, bei denen eine fundierte Entscheidung entscheidend ist
Als Tierarztpraxis in Köniz sind wir im gesamten Raum Köniz und im Gantrischgebiet für Nutztierbehandlungen im Einsatz. Unser Angebot umfasst unter anderem mobiles Röntgen bei Kühen im Stall, Notfalldienst sowie persönliche Betreuung vor Ort.
